Tôm stress NH3 kết hợp pH: Tăng cảm nhiễm đốm trắng

Phân hủy NO2, H2S, NH3, xử lý nước, đáy ao, gây màu nước

Nghiên cứu nhằm mục đích định lượng khả năng gây độc của amonia tổng (TAN) và độ pH một cách độc lập và kết hợp, sau đó được thử nghiệm sau stress với bệnh đốm trắng (White Spot Syndrome Virus- WSSV).

Tôm thẻ chân trắng

Độc tính NH3 trong ao nuôi tôm phụ thuộc vào: độ pH của nước, nhiệt độ, độ mặn khi các yếu tố trên vượt quá ngưỡng tối ưu sẽ gây stress cho tôm làm giảm tốc độ tăng trưởng, tăng tính nhạy cảm với mầm bệnh và gây chết cho tôm thẻ chân trắng trong ao nuôi.

Nghiên cứu cho thấy sự thay đổi NH3 và pH khi vượt quá ngưỡng chịu đựng sẽ gây ảnh hưởng đáng kể đến hệ thống miễn dịch không đặc hiệu của tôm và tăng tính nhạy cảm với virus đốm trắng đặc biệt là ở nghiệm thức kết hợp cả 2 yếu tố gây stress.

Thiết lập nghiên cứu

Các mẫu tôm (cân nặng trung bình: 8g) được thu thập từ một trại nuôi ở Tamil Nadu (Ấn Độ). Thí nghiệm được chia làm 2 phần A và B trong các bể composite 1000L, mỗi bể chứa nước biển đã xử lý và tôm (N=80).

Trong thí nghiệm stress, tôm sẽ được nuôi trong môi trường tiếp xúc độc lập các tác nhân pH (6.8 & 10); NH3 (1, 3, 6 & 9 mg/l) và môi trường kết hợp cả hai, lặp lại 3 lần. Thí nghiệm bao gồm 7 tác nhân độc lập, 12 tác nhân kết hợp và các bể đối chứng ( pH= 7.7 ; TAN= 0.17mg/l).

Tôm từ các bể thí nghiệm A sẽ được lấy mẫu ngẫu nhiên hàng tuần theo chu kỳ để xét nghiệm miễn dịch, tôm từ thí nghiệm B sẽ chỉ sử dụng để làm dữ liệu tỉ lệ sống sót. Sau 14 ngày thử nghiệm stress, số tôm sống còn lại của A và B sẽ được cho lại vào trong các bể composite 500L (mỗi bể N=20) lặp lại 3 lần. Tôm bị bỏ đói 1 ngày và sau đó được gây bệnh đốm trắng bằng phương pháp cho ăn.

Sau 2 tuần, tất cả các nghiệm thức được cho cảm nhiễm với mầm bệnh đốm trắng. Tôm sau khi kết thúc thí nghiệm được lưu trữ ở -80C để kiểm tra đốm trắng.

Kết quả thí nghiệm

Giai đoạn 1: Thí nghiệm Stress

Tỷ lệ sống cao nhất ở các nghiệm thức TAN1 (95%); pH8 (95%); pH8TAN1 (95%)

thấp nhất ở các nghiệm thức TAN9 (55%); H10 (50%); pH6TAN9 (15%),pH10TAN3 (100%)

Nghiệm thức pH10TAN6 và pH10TAN9 đã chết trong 24h sau khi bắt đầu thí nghiệm.

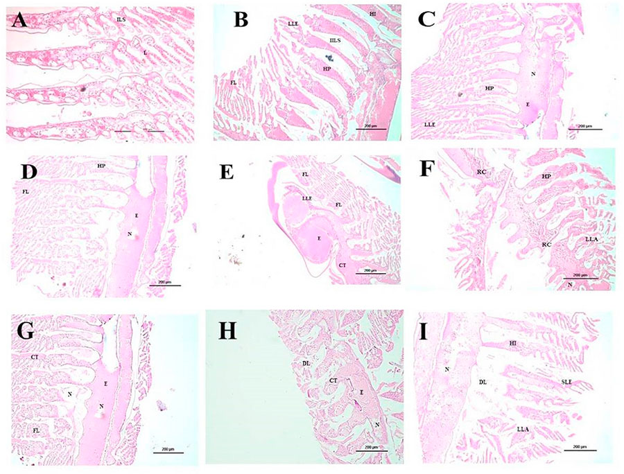
Tôm khi tiếp xúc với độ pH không phù hợp gây phù, thâm nhiễm hồng cầu, sưng, viêm, các tế bào tơ mang bị biến dạng, vỡ tế bào trụ, tổn thương, bong tróc các biểu mô và hoại tử mô mang tôm ở các nghiệm thức thí nghiệm.

Mô mang tôm ở các nghiệm thức khác nhau: (A) Nghiệm thức đối chứng (B) pH6; (C) pH10; (D) TAN9; (E) pH6TAN1; (F) pH6TAN9; (G) pH8TAN9; (H) pH10TAN1; (I) pH10TAN3

Ảnh hưởng trên hệ thống miễn dịch

Sau 24h thí nghiệm gây stress thì tổng tế bào bạch cầu THC (x105 tế bào/ml) giảm mạnh ở tất cả nghiệm thức (so với nghiệm thức đối chứng). THC cao nhất được ghi nhận ở nghiệm thức pH8TAN1 (147) ngày 1 và thấp nhất là pH6TAN9 (51.2) ở ngày 7. Giữa các nghiệm thức stress pH thì pH6 và pH10 đếm được ít hồng cầu hơn (giảm theo từng ngày) so với pH8.

Ảnh hưởng trên hoạt động của PO (Prophenol Oxidase ): 

Hoạt tính PO là một thành phần quan trọng trong hệ thống miễn dịch dịch thể của giáp xác, giúp nhận dạng vật thể lạ; hệ thống này được kích hoạt khi được tác động bởi các thành phần của vách tế bào vi khuẩn

Các thí nghiệm stress độc lập gây giảm hoạt động PO (U/ml) từ ngày 1 đến ngày 14 trừ nghiệm thức nhóm pH=8 và TAN=1 (không chính xác ở nghiệm thức kết hợp). Hoạt động PO cao nhất ở nghiệm thức pH6TAN1 (0.397) và thấp nhất ở pH10TAN3 (0.175).

Nghiệm thức kết hợp nhóm pH8 thể hiện sự giảm dần PO từ ngày 1 đến ngày 14 trừ pH8TAN1, hoạt động PO thấp nhất được ghi nhận ở pH8TAN9 (0.247) ngày 1 và giảm còn 50% ở ngày thứ 14 (0.123).

Nhìn chung, chúng ta thấy rằng THC, hoạt động PO và T- SOD (enzyme giúp phân hủy các phân tử oxy có thể gây hại trong tế bào, ngăn ngừa tổn thương mô) có xu hướng giảm khi nồng độ NH3 trong môi trường tăng. Hoạt động miễn dịch của tôm ở các nghiệm thức kết hợp 2 yếu tố yếu hơn so với các nghiệm thức độc lập.

Giai đoạn 2: Ảnh hưởng đến độ nhạy cảm với mầm bệnh đốm trắng

Tỉ lệ sống của các nghiệm thức thử nghiệm stress đã được ghi lại. Ở các nghiệm thức độc lập, bắt đầu tính từ ngày thứ 2 sau khi gây bệnh thì đã quan sát thấy tỉ lệ chết 100% nghiệm thức pH10 sau đó tiếp tục chết ở các nghiệm thức khác.

Tất cả nghiệm thức kết hợp có pH6 (mọi nồng độ TAN) đều xuất hiện tôm chết từ ngày 2 và chết hoàn toàn vào ngày thứ 4. Nghiệm thức kết hợp có nồng độ pH8 xuất hiện tôm chết từ ngày thứ 4 trong khi pH10 và pH6 xuất hiện từ ngày thứ 2 trở đi ở các nghiệm thức kết hợp. 100% tôm chết sau 9 ngày thí nghiệm.

Các dấu hiệu nhiễm đốm trắng được ghi nhận là giảm tiêu thụ thức ăn, bị đỏ thân (gây chết ở mọi nghiệm thức),…Mầm bệnh đã được xác nhận lại bằng kĩ thuật PCR và mọi mẫu mô từ các nghiệm thức đều thể hiện dương tính với mầm bệnh.

Ở các nghiệm thức độc lập pH và TAN, khả năng tử vong gấp 0.9-5.3 lần so với nghiệm thức đối chứng. Giữa các nghiệm thức độc lập thì thời gian sống trung bình cao nhất là 6 và 5.5 ngày ở nghiệm thức pH8 và TAN1, thấp nhất là 3.5 và 4 ngày ở nghiệm thức pH10 và TAN9.

Trong các nghiệm thức kết hợp có độ pH=8 thì tỉ lệ chết khoảng 1.4-9.9 lần so với nghiệm thức đối chứng và tôm sống trung bình khoảng 3-5.5 ngày. Nghiệm thức pH10TAN3 có mức độ sống trung bình là 2 ngày và tỉ lệ tử vong cao nhất, gấp 36 lần so với nghiệm thức đối chứng.

Quan điểm

Nghiên cứu này cho thấy được sự phản ứng của tôm nuôi đối với ammoniac và pH, khi kết hợp 2 yếu tố gây stress làm mất khả năng thích nghi của tôm sau 2 tuần so với nghiệm thức đối chứng. Các yếu tố này tác động trực tiếp làm suy yếu hệ miễn dịch, làm tôm nhạy cảm hơn với mầm bệnh (cụ thể ở đây là đống trắng), ảnh hưởng trực tiếp đến tỉ lệ sống của tôm. Độ độc của ammoniac có xu hướng tăng khi PH cao, do vậy trong ao nuôi chúng ta cần ổn định môi trường sống tối ưu cho tôm để giảm tối đa các yếu tố gây stress, tránh mật độ nuôi quá dày dễ dẫn đến biến động môi trường. Khi môi trường sống được ổn định tối ưu thì hệ miễn dịch của tôm sẽ hoạt động khỏe hơn tốt hơn để chống lại các mầm bệnh, góp phần nâng cao năng suất vụ nuôi.

 

GIỚI THIỆU SẢN PHẨM:

Phân hủy NO2, H2S, NH3, xử lý nước, đáy ao, gây màu nước

Công dụng:

  • Cung cấp lợi khuẩn cho ao nuôi
  • Phân hủy các chất thải hữu cơ, làm sạch nước và đáy ao
  • Làm giảm các khí độc NH3, H2S, NO2 trong ao nuôi

Cách dùng:

  • Định kỳ ao đất : 7 – 10 ngày/lần ao, ao bạc 3 – 5 ngày/lần: 500g/2000-3000m3
  • Xử lý khí độc đánh vào lúc 5 giờ chiều, cách dùng 500g Nitro turbo + 2kg đường mật + 10-20 lít nước ngâm 2-3 tiếng rồi tạt

Thông tin liên hệ: 09.333.333.61 hoặc truy cập qua facebook: Sinh học tôm vàng để biết thêm thông tin.

 Tag: cách xử lý đáy aocách xử lý nướcđáy aogây màu nướcgiảm tảolàm sạch đáy ao nhanhlàm sạch nướclàm sạch nước nhanhphân hủyphân hủy chất hữu cơtạo màu nước đẹpvi sinh giá tốtxử lý đáy ao nhanhxử lý đáy ao tốtxử lý khí độcxử lý nướcxử lý nước tốt

Tư vấn hợp tác chuyển giao công nghệ liên hệ: 09.333.333.61 

Quy trình nuôi tôm công nghệ cao SINH HỌC TÔM VÀNG tư vấn thiết kế và xây dựng mô hình nuôi tôm công nghệ cao đạt hiệu quả và tỉ lệ thành công 90% trọn vẹn niềm tin

KNT
SHTV/tepbac

Thông tin liên hệ: 09.333.333.61 hoặc truy cập qua facebook: Sinh học tôm vàng để biết thêm thông tin.

Tag:  

Tư vấn hợp tác chuyển giao công nghệ liên hệ: 09.333.333.61 Quy trình nuôi tôm công nghệ cao SINH HỌC TÔM VÀNG tư vấn thiết kế và xây dựng mô hình nuôi tôm công nghệ cao đạt hiệu quả và tỉ lệ thành công 90% trọn vẹn niềm tin.

Sinh Học Tôm Vàng